‘Je moet samenwerken om verschil te kunnen maken’, vertelt Isabel Schuurmans, onderzoeker op de afdeling Kinder- en jeugdpsychiatrie van Erasmus MC Sophia Kinderziekenhuis. Zij werkte de afgelopen twee jaar aan het vormen van het MIND Consortium. Nu zijn er vijftien datasets, verspreid over alle continenten – van Europa tot Azië en van Noord-Amerika tot Australië – met gegevens van zo’n zesduizend kinderen. ‘Toen we wetenschappers van over de hele wereld benaderden, wilde iedereen meedoen.’
Met deze internationale samenwerking hopen de bijna vijftig onderzoekers beter te begrijpen hoe biologische aanleg en omgevingsinvloeden samen de hersengezondheid beïnvloeden. Epigenetica speelt daarbij een belangrijke rol. ‘Dat is de studie naar hoe genen worden aan- of uitgezet, zonder dat het DNA zelf verandert. Je kunt het zien als een soort aan- en uitknoppen op de genen, die bepalen welke genen actief zijn en welke niet’, legt Schuurmans uit.
Genen zijn stukjes DNA die het lichaam vertellen wat het moet doen, bijvoorbeeld welke eiwitten het moet maken. Op die genen zit soms een stofje – dat heet DNA-methylatie – dat bepaalt hoe actief het gen is. Dat gebeurt bijvoorbeeld in de puberteit, waarin jongeren extra hormonen krijgen. De genen voor deze hormonen worden tijdelijk aangezet en daarna weer uitgezet. Dat is epigenetica.

Deze afbeelding laat zien hoe kleine ‘etiketjes’ (gele bolletjes) aan het DNA worden geplakt. Dit is de DNA-methylatie en helpt cellen bepalen welke genen aan of uit staan.
Leefstijl en omgeving kunnen die epigenetische veranderingen ook beïnvloeden. Denk aan voeding, stress of roken. ‘Dat betekent dat we potentieel kunnen ingrijpen’, aldus Schuurmans. ‘We willen begrijpen hoe biologische én omgevingsfactoren samen het risico op mentale problemen beïnvloeden én hoe we dat mogelijk kunnen bijsturen. Daarom zijn deze datasets zo belangrijk.’
Eerste studies met de data
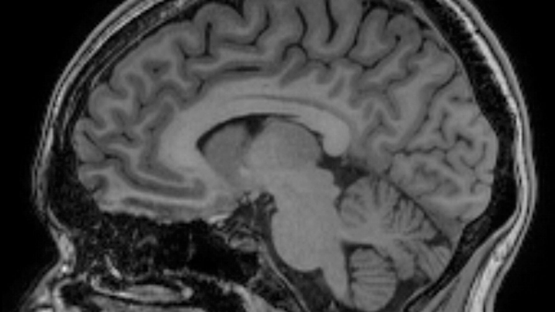
Erasmus MC doet op basis van deze data meerdere studies. Eén daarvan kijkt naar de biologische leeftijd van kinderen. DNA-methylatie verandert in de loop van je leven en kan worden gebruikt om in te schatten hoe oud iemand van binnen is. ‘Soms is iemand biologisch ouder dan zijn echte leeftijd. Maar zien we die snelle veroudering ook terug in de hersenen? Met MRI-scans en deze epigenetische data kunnen we dat uitzoeken.’
Daarnaast wordt onderzocht hoe kinderen leren en presteren. ‘Sommige kinderen leren sneller dan andere en we niet goed waarom. We denken dat DNA-methylatie een antwoord kan bieden’, geeft Schuurmans aan. ‘We onderzoeken daarom hoe DNA-methylatie, hersenontwikkeling en leren samenhangen. Zo hopen we te ontdekken waarom leren bij ieder kind anders gaat.’
Gegevens combineren
Schuurmans’ fascinatie voor hersenontwikkeling begon tijdens haar werk als kinderpsycholoog met kinderen met ontwikkelingsstoornissen. ‘Hersengezondheid is breed’, zegt ze. ‘Het gaat niet alleen om de anatomie – zijn de hersenen groot genoeg – maar ook om het functioneren in het dagelijks leven. Waarom heeft het ene kind een gezondere hersenontwikkeling dan het andere kind? En hoe kunnen we dat beïnvloeden, zodat alle kinderen gezond kunnen zijn?’

Onderzoeker Isabel Schuurmans zette het MIND Consortium op.
Met het MIND Consortium hoopt Schuurmans antwoorden te vinden op vragen die nu nog te complex zijn om goed te begrijpen. ‘We staan nog aan het begin. Maar met deze internationale samenwerking en de enorme hoeveelheid data kunnen we met veel mensen naar veel genen kijken en allerlei combinaties maken. Dat is heel waardevol.’